PRIMERI ODRASLI
Vsi primeri so bili zdravljeni v naši ortodontski ordinaciji.
Za podrobnejši ogled primera kliknite na posamezno sliko. Za prikaz dodatnih primerov kliknite na gumb “PRIKAŽI VEČ“.
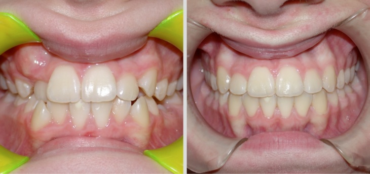
PRIMERI OTROCI IN MLADOSTNIKI
Vsi primeri so bili zdravljeni v naši ortodontski ordinaciji.
Za podrobnejši ogled primera kliknite na posamezno sliko. Za prikaz dodatnih primerov kliknite na gumb “PRIKAŽI VEČ“.




















